What Is Bioclear? A Comprehensive Guide to This Innovative Cosmetic Treatment

Understanding Bioclear.

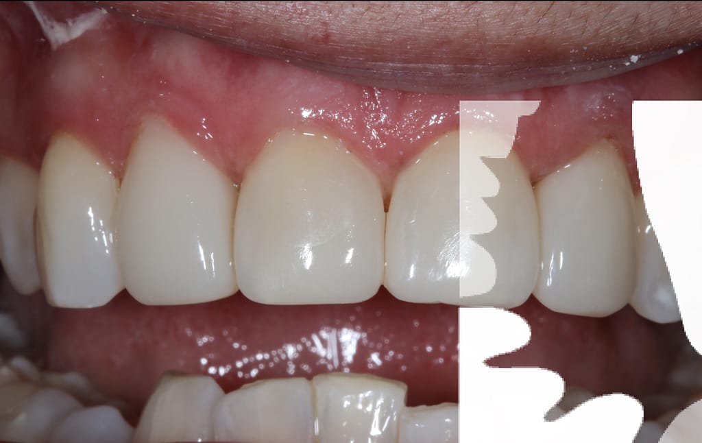
Understanding Bioclear

Bioclear is a modern approach to cosmetic dental care that achieves an effect similar to traditional veneers. Unlike regular veneers, though, Bioclear uses clear forms filled with composite resin to seamlessly correct dental imperfections. It is an innovative form of cosmetic dentistry that is quickly becoming the top choice for many patients due to its excellent results, low cost, and overall convenience.

Traditional veneers require some preparation before application, including slight enamel reduction so that the veneers sit flush against the teeth. Bioclear, on the other hand, is an additive approach that supplements teeth with composite resin. The necessary prep work is much more straightforward as well, leading to a more convenient form of treatment. In general, minimizing enamel removal is the best option for long-term oral health.

And given its unique application method, the Bioclear process boasts unprecedented precision, capable of delivering results that are more consistent and accurate than typical dental bonding.

Benefits of Bioclear

Bioclear treatment offers both cosmetic and functional enhancements to your smile. First and foremost, it is impressively versatile, able to correct common imperfections throughout the entire mouth, such as cracks, chips, misshapen teeth, and minor gaps, all without the need for orthodontic treatment. As such, Bioclear works especially well in providing the appearance of straighter teeth.

Additionally, Bioclear safeguards the teeth against bacteria and food particles. In turn, it also provides long-term dental health benefits, such as helping protect your teeth from decay and other potential risks that would otherwise involve the need for further treatment down the line.

Furthermore, instead of going through the weeks-long process of getting traditional veneers, you can enjoy convenient treatment with Bioclear. It offers a single-visit solution that lets you walk out of the office the same day with a beautiful, restored smile.

Finally, the high-grade composite resin used in Bioclear treatments is truly made to last and is incredibly durable. In fact, it can last twice as long (or more) as traditional dental bonding. It flexes with your teeth, standing up better to everyday challenges, as well as any contractions or expansion caused by hot or cold foods.

Ideal Candidates for Bioclear

Bioclear is an excellent solution for many patients in a variety of situations. If you have gaps, black triangles at the gumline, chips, cracks, uneven teeth, or other cosmetic defects in your smile, then Bioclear could be right for you. 

Similarly, if you’ve already gone through a variety of dental treatments, then Bioclear may be the perfect option to restore your smile long term. After dealing with tooth decay or physical damage to your teeth, Bioclear can provide both a beautiful appearance and lasting protection.

Ultimately, any patient who wants a beautiful smile without permanently removing enamel should consider Bioclear. You can talk with your dentist to find out more and to see if Bioclear aligns with your individual dental health and aesthetic goals. Bioclear is cost effective, too, making it much more accessible than traditional veneers and ensuring that more people can address imperfections in their smiles.

The Bioclear Process

If you’re thinking about pursuing Bioclear for your smile, you may be wondering what your next step should be. Here’s a little deeper look into what you can expect. Bioclear treatment starts with a consultation with your dentist to determine whether it is the right solution for your smile. 

The treatment itself is comfortable and usually doesn’t even require any anesthesia. Your dentist will first clean and prepare your teeth for Bioclear application before precisely placing the matrix and introducing the composite resin. 

Getting Bioclear is a relatively short cosmetic dental treatment. Your dentist will use a special light to cure the resin practically instantly so that your smile is strong and ready to go right at that moment. Finishing touches may include some trimming and polishing to give you the most natural appearance possible, but you’ll be able to go right back to life as usual without any lengthy recovery period.

And rest assured, your dentist will customize the composite shade to suit the natural shade of your smile. And the bonding agents within it will ensure a lasting hold for years of worry-free performance.

Your Trusted Bioclear Dentist Near Anchorage

If you’ve been considering veneers to enhance your smile, consider Bioclear for an excellent option that offers many benefits over traditional veneers. And if you’re in Alaska, there’s no need to search for things like “top dentist near me,” either, as Valley Dental Clinic is here and ready to handle all of your needs regarding Bioclear veneers. Schedule an appointment today to find out whether Bioclear is right for you.